CD3

    Hematopathology
    ZM45 Mouse Monoclonal

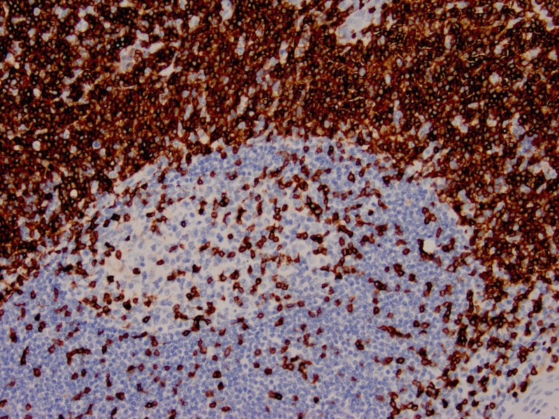
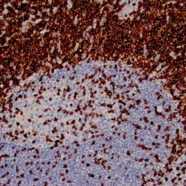
    Zeta CD3 Antibody.  Zeta’s mouse recombinant antibody reacts with the intracytoplasmic portion of the CD3 antigen expressed by T cells. The Zeta CD3 antibody stains human T cells in both the cortex and medulla of the thymus and in peripheral lymphoid tissues. This CD3 antibody is suitable for staining normal and neoplastic T cells in formalin-fixed, paraffin-embedded tissues.

    Specifically, Zeta’s antibody to CD3 recognizes the epsilon chain of CD3, which consists of five different polypeptide chains (designated as gamma, delta, epsilon, zeta, and eta) with MW ranging from 16-28kDa. The CD3 complex is closely associated with the T cell antigen receptor (TCR) at the lymphocyte cell surface. Reportedly, the CD3 complex is involved in signal transduction to the T cell interior following antigen recognition. The CD3 antigen is first detectable in early thymocytes and probably represents one of the earliest signs of commitment to the T cell lineage. In cortical thymocytes, CD3 is predominantly intra-cytoplasmic. However, in medullary thymocytes, it appears on the T cell surface.

    Zeta’s CD3 antibody can be used in IHC to identify T cells in benign and malignant disorders.  The CD3 antibody stains both membrane and cytoplasm, and is useful for classification of neoplasms. The CD3 antigen is a highly specific marker for T cells and is present in the majority of T cell neoplasms.

    Zeta Corporation is a leader in recombinant monoclonal IVD antibodies for immunohistochemistry (IHC) offering 400+ tumor and tissue specific relevant products developed by a pathologist for pathologists.  Visit Precision Recombinant Antibodies – IVD Antibodies – About Zeta Corporation (zeta-corp.com) to learn more about Zeta Corporation.

     

    Specifications
    Species Reactivity:Humans; others not tested
    Known Applications:Immunohistochemistry (formalin-fixed, paraffin-embedded tissues)
    Supplied As:Buffer with protein carrier and preservative
    Storage:Store at 2ºC to 8ºC
    Control:Tonsil
    Visualization:Membrane
    Isotype:IgG1 /κ
    Immunogen:Synthesized human CD3 protein
    Ordering Information
    Classification IVD
    Catalogue Number Z2352ML
    Classification IVD
    Catalogue Number Z2352ML
    Package Inserts
    IFU-CD3 ZM45 - IVD
    Regulatory Notice
    Product classification varies based on regulations of individual countries. Please contact your local distributor for more information. Products labeled as ASR or RUO in the US might be available as IVD or RUO in respective countries.
    SDS
    SDS