Uroplakin II

    Urinary Pathology
    ZR477 Rabbit Monoclonal

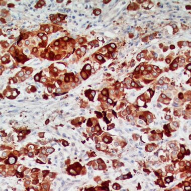
    Zeta Uroplakin II Antibody. Zeta’s rabbit recombinant antibody recognizes Uroplakin II (UPKII), a 15-kDa transmembrane protein and member of the uroplakin family (other two components are uroplakin I and uroplakin III), primarily expressed in urothelial (transitional) epithelium. Uroplakin II is a highly specific marker for tumors of urothelial origin, particularly urothelial carcinoma (UC). Immunohistochemistry utilizing UPII antibodies exhibits high specificity for urothelial carcinoma compared to UPK I, UPK III, and GATA3. UPII immunohistochemistry is valuable for differentiating urothelial carcinoma from other malignancies, including prostate adenocarcinoma or metastatic breast carcinoma. It has also shown promise for detecting micrometastases of bladder cancer. UPII expression is found in various UC subtypes like micro-papillary, plasmacytoid, and sarcomatoid variants.

    Uroplakin II is a highly specific marker for urothelial differentiation is and is positive in most primary urothelial carcinomas (including high-grade and invasive types) and retains expression even in poorly differentiated urothelial tumors.  Additionally, Uroplakin II can help distinguish metastatic urothelial carcinoma from morphologically similar carcinomas (e.g., ovarian serous carcinoma, prostatic adenocarcinoma, colorectal adenocarcinoma) as it is more specific than GATA3 in certain settings, though less sensitive.

    Uroplakin II can help identify certain unknown primary in metastatic carcinoma in lymph nodes, bone, or visceral organs where positivity supports a urothelial origin; histological mimics such as distinguishing urothelial carcinoma from adenocarcinomas of colorectal, gynecologic, or prostate origin; and in bladder cancer workups alongside GATA3, p63, CK7, and CK20.

    Zeta Corporation is a leader in recombinant monoclonal IVD antibodies for immunohistochemistry (IHC) offering 400+ tumor and tissue specific relevant products developed by a pathologist for pathologists.  Visit Precision Recombinant Antibodies – IVD Antibodies – About Zeta Corporation (zeta-corp.com) to learn more about Zeta Corporation.

    Specifications
    Species Reactivity:Humans; others not tested
    Known Applications:Immunohistochemistry (formalin-fixed, paraffin-embedded tissues)
    Supplied As:Buffer with protein carrier and preservative
    Storage:Store at 2ºC to 8ºC
    Control:Urothelial carcinoma
    Visualization:Cell membranous
    Isotype:IgG
    Immunogen:Recombinant fragment (around aa 36-51) of human Uroplakin 2 (UPK2) protein
    Ordering Information
    Classification IVD
    Catalogue Number Z2851RL
    Classification IVD (Non-EU)/ RUO (EU)
    Catalogue Number Z2851RL
    Package Inserts
    IFU-Uroplakin ZR477 - IVD
    Regulatory Notice
    Product classification varies based on regulations of individual countries. Please contact your local distributor for more information. Products labeled as ASR or RUO in the US might be available as IVD or RUO in respective countries.
    IFU-Uroplakin ZR477 -RUO
    Regulatory Notice
    Product classification varies based on regulations of individual countries. Please contact your local distributor for more information. Products labeled as ASR or RUO in the US might be available as IVD or RUO in respective countries.
    SDS
    SDS