Related Products

    Unknown Primary Cocktail

    Hematopathology
    ZR428 + ZM20 Rabbit and Mouse Monoclonal

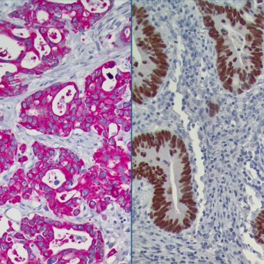
    Zeta’s Unknown Primary Cocktail – DUAL STAIN.

    Zeta’s Unknown Primary Cocktail detects Cytokeratin 7 and CDX2 and acts as a valuable immunohistochemistry (IHC) approach used by pathologists to help identify the tissue of origin in carcinomas of unknown primary (CUP) — especially in metastatic cancers where the primary tumor is not apparent.

    In tissue origin identification in CUP cases, by staining for both CK7 and CDX2 simultaneously, the Unknown Primary Cocktail can identify the likely origin of epithelial tumors, which is especially critical when working with small biopsies or metastases where clinical history is incomplete.  For example, Zeta’s Unknown Primary Cocktail can be helpful working with metastatic adenocarcinoma in the liver, lymph node or peritoneum where the origin is unclear, small biopsies where multiple cuts or stains are not feasible, and tumors that show atypical marker expression.

    Status Suggestive Tissue Origin
    CK7+ / CDX2– Lung, breast, ovary, pancreas, cholangiocarcinoma
    CK7– / CDX2+ Colon (especially colorectal adenocarcinoma)
    CK7+ / CDX2+ Upper GI tract (e.g., gastric), pancreatic, mucinous tumors
    CK7– / CDX2– Prostate, renal cell carcinoma, hepatocellular carcinoma

    Cytokeratin 7 (CK7): An intermediate filament protein expressed in epithelial cells of certain tissues (e.g., lung, breast, ovary, upper GI, urothelium).  Cytokeratin 7 is a basic cytokeratin which is found in most glandular and transitional epithelia but not in the stratified squamous epithelia. Keratin 7 is expressed in the epithelial cells of ovary, lung, and breast but not of colon, prostate, or gastrointestinal tract. Antibody to CK7 is useful in distinguishing ovarian carcinomas (keratin 7+) from colon carcinomas (keratin 7-).

    CDX2: A homeobox gene transcription factor expressed in the nuclei of intestinal epithelial cells, especially in colorectal adenocarcinomas.  CDX2 protein expression has been seen in GI organs and GI carcinomas. Anti-CDX2 has been useful to establish GI origin of metastatic adenocarcinomas and carcinoids and is especially useful to distinguish metastatic colorectal adenocarcinoma from lung adenocarcinoma. The combination of CK7 (red) and CDX-2 (brown) antibodies is helpful in separating unknown primary carcinomas (UNC) as CK7+/CDX-2- (breast, GYN, lung) CK7+/CDX-2+ (bladder, stomach, appendix, ovarian mucinous carcinoma), CK7-/CDX-2+ (colorectal), or CK7-/CDX-2- (prostate, kidney).

    Zeta’s DUAL STAIN products provide more information from limited tissues, by seeing two related markers on the same slide while also allowing pathologists to see cellular localization and interaction within the tumor environment.  Zeta uses one mouse and one rabbit recombinant monoclonal in each cocktail to allow for differential color results.

    Zeta Corporation is a leader in recombinant monoclonal IVD antibodies for immunohistochemistry (IHC) offering 400+ tumor and tissue specific relevant products developed by a pathologist for pathologists.  Visit Precision Recombinant Antibodies – IVD Antibodies – About Zeta Corporation (zeta-corp.com) to learn more about Zeta Corporation.

    Specifications
    Species Reactivity:Humans; others not tested
    Known Applications:Immunohistochemistry (formalin-fixed, paraffin-embedded tissues)
    Supplied As:Buffer with protein carrier and preservative
    Storage:Store at 2ºC to 8ºC
    Control:Stomach
    Visualization:Cytoplasmic/nuclear
    Isotype:IgG + IgG1
    Immunogen:OTN II ovarian carcinoma cell line + Recombinant human full-length CDX2 protein
    Ordering Information
    Classification IVD
    Catalogue Number Z2856MRP
    Classification IVD (Non-EU)/ RUO (EU)
    Catalogue Number Z2856MRP
    Package Inserts
    IFU-Unknown Primary Cocktail ZR428 + ZM20 IVD
    Regulatory Notice
    Product classification varies based on regulations of individual countries. Please contact your local distributor for more information. Products labeled as ASR or RUO in the US might be available as IVD or RUO in respective countries.
    IFU-Unknown Primary Cocktail ZR428 + ZM20 RUO
    Regulatory Notice
    Product classification varies based on regulations of individual countries. Please contact your local distributor for more information. Products labeled as ASR or RUO in the US might be available as IVD or RUO in respective countries.
    SDS
    SDS